به گزارش همشهری آنلاین یک تکنیک تصویربرداری مغز که توسط پژوهشگران دانشگاه کلمبیا در نیویورک ابداع شده است، مناطقی را در قشر مغز -درست پشت پیشانی – شناسایی کرده است که بیشترین آسیب را در اثر ضربات مکرر ناشی از ضربه زدن به توپ فوتبال با سر متحمل میشوند. مطالعه آنها همچنین نشان داد که این آسیب منجر به نقصهای شناختی میشود که در بازیکنان فوتبالی که مرتباً به توپ ضربه میزنند، مشاهده میشود.
این بررسی که یافتههای آن در ژورنال JAMA Network Open منتشر شده است، بیش از ۳۵۰ بازیکن فوتبال آماتور را با نزدیک به ۸۰ ورزشکار در ورزشهای غیربرخوردی مقایسه کرده است.
آنها از یک اسکنهای پیشرفته مغز به نام dMRI یا «امآرآی انتشاری» برای ردیابی نحوه حرکت مولکولهای آب در چینهای خاصی از مغز استفاده کردند
یافتهها نشان داد که بازیکنانی که بیشتر اوقات – بیش از ۳۰۰۰ بار در سال – به توپ ضربه میزدند، اختلالات قابل توجهی بیشتری در یک لایه نازک از ماده سفید نزدیک قشر خاکستری مغز دارند. آنها همچنین در آزمونهای حافظه و تفکر عملکرد بدتری داشتند.
دکتر مایکل لیپتون، استاد رادیولوژی و مهندسی زیست پزشکی در کالج پزشکان و جراحان واگلوس دانشگاه کلمبیا و سرپرست این بررسی گفت: «آنچه در مورد مطالعه ما مهم است این است که برای اولین بار نشان میدهد که قرار گرفتن در معرض ضربات مکرر به سر باعث تغییرات خاصی در مغز میشود که به نوبه خود عملکرد شناختی را مختل میکند.»
دومین بررسی در همین مورد که بوسیله گروه پژوهشی دکتر لیپتون انجام شده و یافتههایش در ژورنال «نورولوژی» منتشر شده است، از یک تکنیک تصویربرداری متفاوت برای بررسی مغز استفاده کرد و آسیبهای مرتبط را در همان ناحیه قبلی یافت.»
لیپتون میگوید: «این واقعیت که هر دو تکنیک، با بررسی دو ویژگی متفاوت، ارتباط یکسانی را پیدا میکنند، نتیجهگیری ما را مبنی بر اینکه این تغییرات واسطه اثرات شناختی سر زدن هستند، تقویت میکند.»

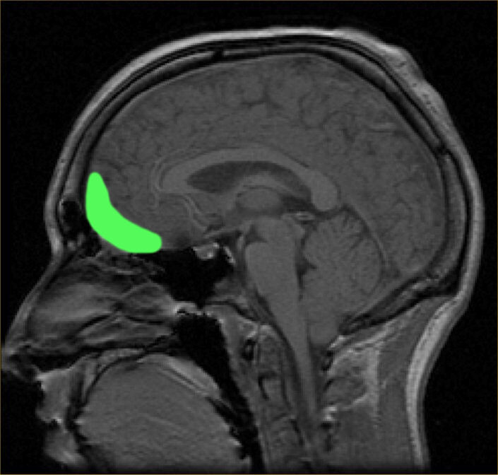
آسیب در منطقه مرزی میان ماده سفید و خاکستری مغز
امآرآی انتشاری که ریزساختار و سازماندهی سلولی را بررسی میکند به این پژوهشگران امکان داد که به مرز میان ماده سفید و خاکستری در قشر مغز، بیرونیترین سطح مغز، نگاه کنند.
لیپتون میگوید: «ما به این منطقه مرزی نگاه کردیم زیرا ماده سفید و خاکستری چگالیهای متفاوتی دارند و در پاسخ به ضربه سر با سرعتهای متفاوتی حرکت میکنند. این امر باعث ایجاد نیروهای برشی بین دو نوع بافت میشود و منطقه مرزی میان دو لایه را در معرض آسیب قرار میدهد.»
تکنیکهای معمول امآرآی انتشاری برای تجزیه و تحلیل ساختارهای عمیق درون مغز به خوبی کار میکنند، اما قابل توجه است موانع، توانایی آنها را در تجزیه و تحلیل لایههای بیرونی – همان مناطقی که ممکن است بیشتر مستعد آسیب ناشی از ضربه سر باشند – محدود میکند. جوآن سونگ، دانشجوی کارشناسی ارشد آزمایشگاه لیپتون، روش جدیدی را برای توصیف ریزساختار درون مناطق مرزی بین ماده خاکستری و سفید در سطح بیرونی مغز ابداع کرد.
سونگ میگوید: «در افراد سالم، انتقال عصبی شدیدی بین این دو ناحیه وجود دارد. در اینجا ما بررسی کردیم که آیا تضعیف این انتقال ممکن است با ضربات جزئی ناشی از سر زدن رخ دهد یا خیر.»
کسانی که بیشتر سر زدن در فوتبال را داشتند – بیش از ۱۰۰۰ ضربه در سال- انتقالهای به طور قابل توجهی مبهمتری بین ماده خاکستری و سفید در ناحیه اوربیتوفرونتال مغز (پشت پیشانی) داشتند، اما در سایر مناطق دورتر مغز اینطور نبود. بازیکنانی که بیشتر اوقات به توپ ضربه سر میزدند، همچنین در آزمونهای یادگیری و حافظه در مقایسه با بازیکنانی که ضربه سر کمی زده بودند یا اصلاً نزده بودند، چند نمره پایینتر آوردند.
آسیب بیشتر در منطقه انتقال، ضربات سر را با عملکرد بدتر در آزمون مرتبط میکرد.
لیپتون میگوید: “شواهد بسیار قوی وجود دارد که این تغییرات ریزساختاری احتمالاً علت نقص شناختی هستند.”
آزمایشگاه اکنون در حال بررسی رابطه بالقوه بین این نشانگرهای زیستی و ایجاد بعدی «آنسفالوپاتی مزمن ناشی از ضربه» (CTE)، یک عارضه پیشرونده تحلیلبرنده مغز است که در ورزشکارانی (و دیگرانی) که در معرض ضربههای مغزی مکرر- چه ضربههای مغزی منجر به بیهوشی و چه ضربات خفیفتر بیعلامت، بودهاند، رخ میدهد.
منبع: مدیکال اکسپرس

ارسال نظر شما
مجموع نظرات : 0 در انتظار بررسی : 0 انتشار یافته : 0